大夫,我得了颈椎病,医生说要从前面做手术,术后会不会出现吞咽困难呢?
这个问题也是大家经常问到的,今天我们请北大医院王诗军教授给大家回答一下这个问题
颈椎病这个名字大家都很熟悉了,保守治疗无效可行手术治疗,手术治疗主要有前路手术和后路手术。前路手术的经典术式就是椎间盘切除椎间植骨融合术 ( anterior cervical discectomy and fusion,ACDF)。
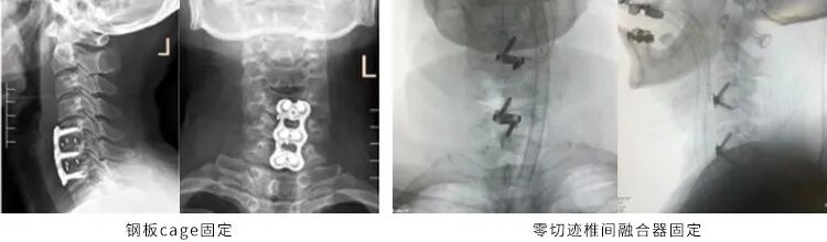
前路手术可分为钢板固定手术和零切迹椎间融合器固定。
尽管内固定系统前方钛板的支撑能够维持颈椎的稳定性,提高椎间融合率, 矫正颈椎生理曲度,但在双节段以及多节段颈椎病当中,其弊端也十分明显,如螺钉松动、软组织剥离过多、压迫食管以及术后异物感等。为了减少以上颈椎并发症的发生,目前新型的颈椎前路零切迹椎间融合器的应用越来越多。
问:医生,您说了这么多,我这前路手术发生吞咽困难概率有多大,我是选择那种方案更合适呢?
北大医院王诗军教授说:
既往研究表明,前路钢板固定术后颈部异物感的发生率为 2%~67%。绝大多数患者异物感发生于术后 3 个月之内,其中大多能够通过对症治疗缓解。
相关文献报道,仍有12. 5% ~35. 1%的患者在术后3个月后症状仍然无缓解。
大量研究显示: 越短越薄的钛板能够减少颈椎前路手术异物感的发生率。大多数学者认为是外植入物钛板刺激前方的食管导致颈椎术后异物感。零切迹内固定系统将内固定完全植入椎间隙与上下椎体中,避免了前方钛板的植入与软组织肌肉过多剥离,因此能减少术后异物感的发生率。所以我们现在颈椎前路手术小于三个阶段的一般都可以用零切迹融合器手术治疗。
同时,零切迹融合器能够避免前方钛板的植入,减少颈椎前方软组织的剥离,从而减少了术后颈部异物感的发生。手术时间短,术中出血少,操作相对简单,组织剥离少,并发症发生率低,有望替代传统钛板联合融合器内固定系统。
 
					Telephone:13810706073
Address:A19 Fushi Road, Haidian District, Beijing
 
					 
						Scan and follow us
 
					Call
Close